Hand-/Fußchirurgie
Die Hand und der Fuß sind Wunderwerke. Anatomisch und funktionell äußerst komplex, stellen sie unsere Fortbewegung und unser Geschick sicher.
Handchirurgie
Die Häufigsten und gängigsten Handerkrankungen sind der Schnellende Finger, das Karpaltunnelsyndrom und die Daumensattelgelenkarthrose. Darüber hinaus gibt es noch eine Vielzahl anderer Pathologien.
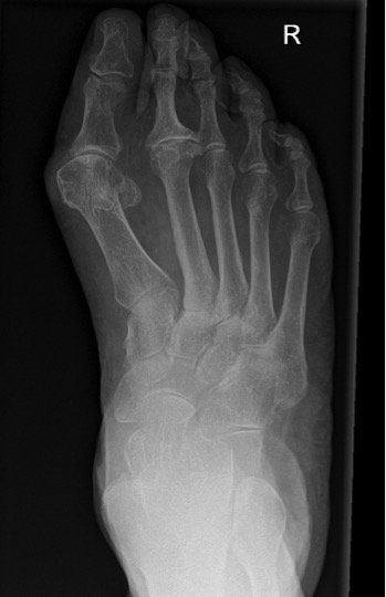
Fußchirurgie
Die häufigsten Fußerkrankungen sind der Hallux valgus, Hallux rigidus und Hammerzehen.






